Heel Spurs Treatment in Toms River, NJ

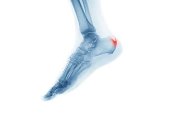
Heel spurs are essentially a hook of bone that forms at the back of the foot, at the base of the ankle. Heel spurs are also described as a calcium deposit that covers the tendons and ligaments of the ankle. Heel spurs cause extreme pain, and can prevent someone from walking or being physically active at a normal level.
Heel spurs are more common than people expect them to be. They are most common in people age forty and over, although heel spurs can occur in people younger than forty, and frequently affect athletes or people who are very physically active. Heel spurs are also common in those with poor circulation and degenerative diseases. People who suffer from arthritis may suffer from heel spurs as well.
Symptoms & Treatment Options of Heel Spurs
The symptoms of heel spurs are pain in the lower ankle, which increase when walking. Treatment of heel spurs can be treated many ways and most often times is very effective. If someone suspects that they have heel spurs, they should contact their physician. Their physician will recommend that they perform an x-ray on the patient's ankles. The physician may also perform a physical on the patient to ensure that there are no underlying conditions, and of course if heel spurs are discovered a physician can recommend treatment options.
Orthopedic shoes are specially designed footwear for people who suffer with foot problems. Orthopedics offer a rubber sole, which cushions the heel and adds comfort to those who suffer from heel spurs. Another simple way to help the pain of heel spurs is to elevate the ankle to diminish the pain. When elevating the ankle, the blood is not focused on that area of the foot and can bring some relief. When all these options have been attempted, and there is still no relief from heel spurs, or the heel spurs return, surgery can be the more dramatic and permanent way to rid patient of heel spurs.
There are less conventional ways that are becoming more popular ways to treat heel spurs. One option would be to use a night splint which reduces the pain caused from heel spurs if worn overnight. Other alternative treatment methods that can be used are ultrasound, or acupressure. There are also other tolls that can be used are heel cups, heel seats, heel pads, arch supports, and insoles.
Exercise is also another powerful tool to help alleviate pain from heel spurs and can help in dealing with some of the symptoms, although exercising incorrectly and forgetting to protect your feet can lead to further pain. It is important to remember the correct way to place the feet when exercising so as to avoid making the problems worse, or creating problems. When exercising to alleviate heel spurs, exercising strengthens muscles around the surrounding tissue around the ankle. Stretching will also keep the tendons around the ankle flexible.
If you’d like more information about heel spurs, consult with a podiatrist who can provide you with a proper diagnosis and professional care.




